Cargando pagina por favor espere...
Inicio
|
Contactar
|
Aviso legal
Caso 09
Autor:
Isabel Fenollos Canovas
Haz click en las imágenes para verlas ampliadas
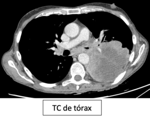
HALLAZGOS RADIOLÓGICOS
A
Masa pulmonar posterior izquierda heterogénea. Mediastino e hilio contralateral normales.
B
Masa pulmonar posterior izquierda homogénea. Mediastino e hilio contralateral normales.
C
Masa pulmonar posterior izquierda heterogénea. Ocupación mediastínica e hiliar contralateral.
D
Masa pulmonar posterior izquierda homogénea. Ocupación mediastínica e hiliar contralateral.