DIAGNÓSTICO FINAL: Carcinoma broncopulmonar con metástasis hiliares y mediastínicas
DISCUSIÓN
El carcinoma broncopulmonar es la neoplasia más frecuente y la principal causa de muerte por cáncer en el varón. Su incidencia va en aumento en el sexo femenino. El tabaquismo asociado a una predisposición genética es la causa principal de esta enfermedad.
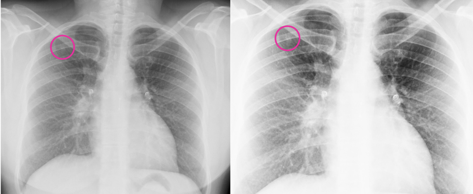
Rx de tórax PA. La radiografía de tórax es una prueba fundamental en urgencias para evaluar a un paciente con fiebre, especialmente cuando hay sospecha de una infección respiratoria o una complicación pulmonar, debido a su rapidez y accesibilidad. Sus principales aportes son:
- Diagnóstico de neumonía. Permite identificar infiltrados pulmonares sugestivos de infección bacteriana, viral o fúngica.
- Descartar otras causas respiratorias. Puede revelar otras patologías como tuberculosis, abscesos pulmonares o enfermedades intersticiales.
- Evaluación de complicaciones. Ayuda a detectar derrames pleurales, neumotórax o edema pulmonar que podrían agravar el cuadro clínico.
- Identificación de enfermedades no infecciosas. En algunos casos, la fiebre puede ser secundaria a patologías como insuficiencia cardíaca congestiva, neoplasias o enfermedades autoinmunes con afectación pulmonar.
En ella observamos un nódulo radiodenso polilobulado ubicado en el LSD y una gran asimetría de los hilios pulmonares, con engrosamiento del hilio derecho.

TC tórax con contraste. Dado que la radiografía de tórax reveló un patrón sugestivo de neoplasia pulmonar, se decidió hacer un TC como prueba complementaria. EL TC es una prueba con mayor sensibilidad y especificidad para caracterizar lesiones pulmonares. Permite una mejor caracterización del nódulo (tamaño, forma, bordes y densidad), se pueden detectar características sugestivas de malignidad, como bordes espiculados o una tasa de crecimiento rápida.
El TC también facilita la diferenciación entre lesiones benignas y malignas, así como, realizar una evaluación del contexto clínico, es decir, permite buscar otros hallazgos, como adenopatías mediastínicas o lesiones pulmonares adicionales, que pueden sugerir una enfermedad metastásica o infecciosa. En el TC se evidenciaron tres nódulos pulmonares polilobulados, presentes en ambos pulmones. Además, permitió ver que la asimetría hiliar se debía a la presencia de varias adenopatías hiliares derechas de densidad heterogénea y aspecto necrótico, que estaban infiltrando una rama de la arteria pulmonar.
Formas de presentación radiológica del carcinoma broncopulmonar
Los hallazgos radiológicos más comunes del carcinoma broncopulmonar son:
- Masas pulmonares
- Agrandamientos hiliares
- Nódulos pulmonares múltiples
- Ensanchamiento del mediastino
- Derrame pleural
- Atelectasia
- Consolidación
Para establecer un diagnóstico diferencial entre un NPS benigno y uno maligno, es básico valorar el riesgo clínico pre-prueba del paciente considerando: la edad, hábito tabáquico, antecedentes de tumores en otras localizaciones y antecedentes familiares. El tamaño del nódulo guarda una relación directa con la probabilidad de malignidad. Un nódulo de más de 3 cm debe considerarse inicialmente maligno hasta demostrar lo contrario, los nódulos superiores a 2 cm son malignos en un 64 a 84%. La densidad de un NPS también ayuda para el diagnóstico diferencial. El contorno espiculado, lobulado o mal definido también apoya la posibilidad de malignidad. Por otro lado, debemos descartar otras patologías como un linfoma o una neumonía. En primer lugar, sabemos que no es un linfoma porque estos suelen presentar adenopatías grandes, simétricas y confluentes formando una masa mediastínica y no suelen manifestarse con una masa pulmonar primaria. Por otro lado, una neumonía suele manifestarse con infiltrados alveolares difusos o focales y en ella las adenopatías mediastínicas son infrecuentes.