Cargando pagina por favor espere...

  Inicio   |   Contactar   |   Aviso legal  
     

Caso 13

     
 

Autor:

 

Elías Rubira Ortiz

 

 

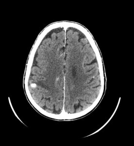
TC craneal con contraste
TC craneal con contraste IV

 

Haz click en las imágenes para verlas ampliadas