Cargando pagina por favor espere...
Caso 15
Autor:
Lourdes María López Sánchez
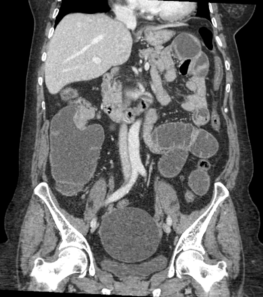
TC abdominal
Haz click en las imágenes para verlas ampliadas
HALLAZGOS RADIOLÓGICOS